原发性肝癌是什么情况 原发性肝癌

一、原发性肝癌是什么情况

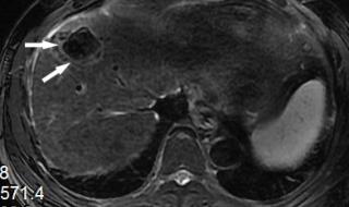
原发性肝癌,又叫肝癌,是肝脏细胞或肝内胆管上皮细胞发现的恶性肿瘤。肝脏发现肿瘤,可以是肝脏本身产生的,也可以是其他部位转移而来的。如果比如胃癌转移到肝脏,叫胃癌肝转移。原发性肝癌在我们最常见的是慢性肝炎导致肝硬化,发展成原发性肝癌。

原发性肝癌

二、原发性肝癌晚期症状怎么治

原发性肝癌发展到了晚期的话会出现一些恶液质状态,比如患者的肚子会出现非常鼓的现象,并且伴随有腹胀的感觉,还会出现黄疸的现象,体质状况会越来越虚弱,这个时候的治疗主要是是保守治疗为主,还有进行化疗或者是介入治疗等综合治疗的措施。

相关新闻

联系我们

联系我们

888-888-8888

在线咨询: 点击这里给我发消息

邮件:admin@dlfswl.cn

工作时间:周一至周五,9:30-18:30,节假日休息

关注微信
关注微信
分享本页
返回顶部